Odontoiatria contemporanea del bambino: tra vecchie sfide e nuovi approcci. Le urgenze: come riconoscere, decidere e intervenire.
6 CREDITI ECM
Apr
PROGRAMMA
08,30 – 09,00 Registrazione e presentazione dell’evento e dei relatori
09,00 – 11,00 Differenze di approccio al paziente in età pediatrica:
- Peculiarità anatomiche, fisiologiche ed emotive
- Scelte cliniche in funzione dell’età e della collaborazione
- Anestesia nel bambino
- Diga di gomma nel paziente pediatrico
11,30 – 13,00 Gestione comportamentale dell’urgenza:
- Comunicazione con bambino e genitori
- Riduzione dell’ansia
- Prevenzione dell’esperienza odontoiatrica
13,00 – 14,00 Working lunch
14,00 – 16,00 Il concetto di urgenza in odontoiatria pediatrica:
- Urgenza vs emergenza
- Inquadramento delle emergenze più frequenti
- Anamnesi rapida ed efficace
- Valutazione del dolore
- Farmacologia di base
15,30 – 16,00 Conclusioni e verifica ECM dell’apprendimento con questionario
ABSTRACT
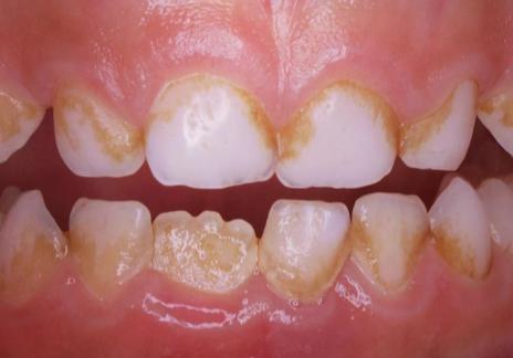
Le urgenze in odontoiatria pediatrica rappresentano una condizione clinica frequente e delicata, che richiede competenze specifiche non solo dal punto di vista tecnico, ma anche comunicativo e gestionale. Il bambino, per caratteristiche anatomiche, fisiologiche ed emotive, non può essere considerato un “piccolo adulto”: dolore, trauma e infezione assumono peculiarità proprie dell’età evolutiva e devono essere affrontati con approcci mirati e tempestivi.
Il corso si propone di fornire ai partecipanti gli strumenti teorici e pratici necessari per il riconoscimento, la valutazione e la gestione delle principali urgenze odontoiatriche in età pediatrica.
Ampio spazio sarà dedicato all’inquadramento clinico del piccolo paziente, alla raccolta anamnestica efficace, alla valutazione del rischio sistemico e alla scelta del trattamento più appropriato in relazione all’età.
Verranno inoltre affrontate le strategie di comunicazione con il bambino e la famiglia, fondamentali per la gestione dell’urgenza e per la prevenzione di esperienze odontoiatriche negative. Il corso integra linee guida aggiornate, protocolli operativi e casi clinici, con l’obiettivo di migliorare la sicurezza e l’efficacia in situazioni di urgenza
.
QUOTE DI PARTECIPAZIONE
SOCI AIO
€ 100,00 Esente IVA
NON SOCI AIO
€ 150,00 + IVA 22%
NUOVI SOCI
€ 350,00 Compresa Quota Associativa 2026 scontata
Pagamento tramite bonifico bancario intestato a:
AIO GESTIONE SERVIZI TORINO
IT63R0200801118000100560424
RELATORI:
Dr. STEFANO LONGO
Si laurea nel 1999 in Odontoiatria e protesi dentaria presso l’Università degli Studi di Torino.
Esercita la libera professione dal 2001 rivolgendo la sua attenzione soprattutto verso l’odontoiatria infantile.
Relatore al seminario “Esercitazione teorico-pratica sulle corone pedodontiche” presso la scuola di specializzazione in odontoiatria infantile dell’Università di Padova.
Relatore sulla “Teoria e utilizzo pratico delle corone pedodontiche” presso il Master di 2° livello dell’Università di Padova “Odontoiatria pediatrica ed ortodonzia in età evolutiva”.
Ideatore e relatore insieme alla dott.ssa Chiara Terrazzani di numerosi corsi su Odontoiatria pediatrica.
Dr.ssa CHIARA TERRAZZANI
Laurea nel 2006 in Odontoiatra e Protesi dentaria presso l’Università degli Studi di Padova.
Esperta in odontoiatria pediatrica, preventiva, sedazione inalatoria
e nell’approccio al paziente con special needs.
Relatrice presso il Master Universitario in Odontoiatria
Pediatrica ed Ortodonzia in età evolutiva (Unipd) e
relatrice presso corsi privati. Ha frequentato corsi privati diversi di ortodonzia, ortodonzia intercettiva,
conservativa, prevenzione, sedazione e odontoiatria
infantile
SEDE DELL’EVENTO
TULIP INN TURIN SOUTH HOTEL
Via Guido Rossa, 11 MONCALIERI (TO)
Si prega di compilare la scheda in ogni sua parte ed inviarla a: info@aiotorino.it unitamente alla contabile del bonifico.
