FATTORI CHE INFLUENZANO LA PRESERVAZIONE OSSEA IN IMPLANTOLOGIA (Marginal Bone Loss) PER IL SUCCESSO A LUNGO TERMINE
6 CREDITI ECM
Feb
PROGRAMMA
08,30 – 09,00 Registrazione e presentazione dell’evento e dei relatori
09,00 – 10,00 Solco corto/orizzontale VS solco lungo/verticale (profilo emergenza)
10,00 – 11,00 I processi biologici di cicatrizzazione: the healing race
11,00 – 12,00 Abutment conico o divergente?
12,00 – 13,00 Light lunch
13,00 – 14,00
- Casi di riassorbimento osseo intorno agli impianti
- Connessioni, angolo e profilo di emergenza e tessuti perimplantari
- Come prevenire il riassorbimento osseo
14,30 – 15,30 Casi clinici su denti e impianti
15,30 – 16,00 Conclusioni e verifica ECM dell’apprendimento con questionario
ABSTRACT
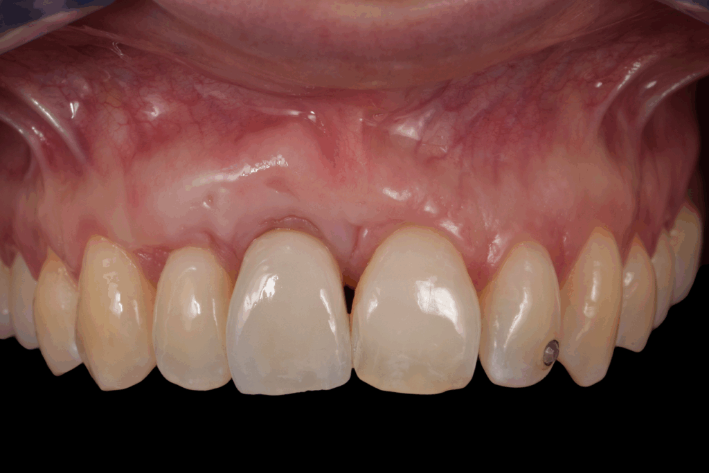
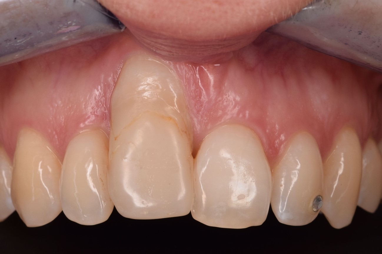
La riabilitazione implanto-protesica dei settori ad alta valenza estetica rappresenta, ancora oggi, una delle sfide più complesse e stimolanti per il clinico. L’obiettivo non è soltanto il ripristino della funzione masticatoria, ma anche il recupero di un’estetica naturale e armonica, in grado di integrarsi perfettamente nel sorriso.
Il riassorbimento osseo di 1,5-2mm intorno agli impianti caricati funzionalmente, oggi si continua a considerare fisiologico. Durante gli ultimi anni sono state studiate le cause principali di perdita di osso intorno agli impianti, le quali porterebbero all’ottenimento dell’ampiezza biologica subcrestale. Tra queste in bibliografia si segnalano: multiple rimozioni del pilastro durante la fase protesica, il volume dei tessuti intorno al restauro, profili anatomici, ecc.
Scopo di questa relazione è analizzare in modo critico come le caratteristiche di fixture e abutment possano influenzare l’esito di una riabilitazione estetica su impianti.
.
QUOTE DI PARTECIPAZIONE
SOCI AIO
€ 100,00 Esente IVA
NON SOCI AIO
€ 150,00 + IVA 22%
NUOVI SOCI
€ 350,00 Compresa Quota Associativa 2026 scontata
Pagamento tramite bonifico bancario intestato a:
AIO GESTIONE SERVIZI TORINO
IT63R0200801118000100560424
RELATORI:
Dr. ALESSANDRO VIVIANI
Odontoiatra, è professore associato presso l’Università Europea di Madrid (Master di estetica), oltre ad avere un master in Implantologia Orale Avanzata presso la stessa Università. Libero professionista a Oleggio (NO), ha frequentato per alcuni anni la Clinica Universitaria Odontologica – Madrid (Direttore Jaime Jimenez) e i reparti di Conservativa, Protesi ed Estrattiva della Clinica dell’Università Europea di Madrid.
Dr. GIUSEPPE RAMUNDO
Si Laurea nel 1995 con tesi sperimentale su tecniche di rigenerativa ossea in implantologia con votazione 110/110; continua a frequentare l’Università fino al 2001. Durante questo periodo matura esperienze cliniche e didattiche, partecipa all’insegnamento del corso di Laurea, alla ricerca e realizzazione di articoli scientifici e alla redazione del Manuale di Chirurgia Orale. Profondo sostenitore della multidisciplinarietà. Frequenta diversi corsi con luminari di protesi, parodontologia, endodonzia che migliorano la sua formazione. L’attività principale rimane comunque la chirurgia orale, in particolare l’implantologia. Attualmente svolge la sua attività clinica principalmente in campo chirurgico ed implanto-protesico e la sua attività didattica come relatore in congressi e corsi.
SEDE DELL’EVENTO
TULIP INN TURIN SOUTH HOTEL
Via Guido Rossa, 11 MONCALIERI (TO)
Si prega di compilare la scheda in ogni sua parte ed inviarla a: info@aiotorino.it unitamente alla contabile del bonifico.
